Tractament de genives a Barcelona

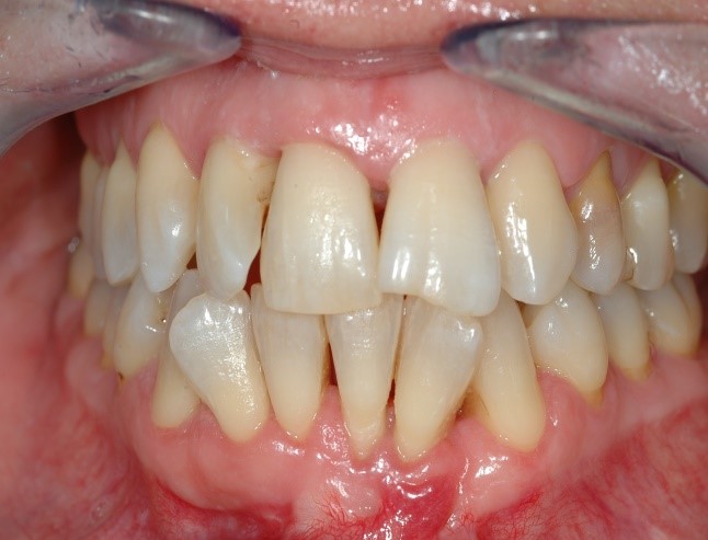
El periodont és el conjunt de teixits que envolten i suporten la dent: la geniva, el lligament periodontal i l’os alveolar. Quan aquests teixits s’inflemen o es veuen afectats per una infecció, parlem de malaltia periodontal, sent la seva forma més avançada la periodontitis o piorrea.

Es tracta d’una patologia silenciosa que sol avançar sense símptomes evidents, per la qual cosa molts pacients no són conscients de la seva presència fins que el dany és important. En els casos més greus, la pèrdua de peces dentals pot ser inevitable si no s’actua a temps.

A la Clínica Dental Merino, apostem per la prevenció i el diagnòstic precoç. El nostre equip d’higienistes i periodoncistes realitza avaluacions exhaustives mitjançant test microbiològics, sondeig periodontal i estudis radiogràfics, la qual cosa ens permet identificar la malaltia en les seves fases inicials.

Demana cita a la nostra clínica

Especialistes en el tractament de genives a Barcelona

A la Clínica Dental Merino som especialistes en el diagnòstic i tractament de les malalties de les genives a Barcelona. Comptem amb un equip d’odontòlegs i periodoncistes amb una àmplia trajectòria clínica, formats en les tècniques més avançades de la periodontal moderna.

El nostre enfocament es basa en la prevenció, el diagnòstic precoç i el tractament personalitzat, adaptat a l’estat de les genives de cada pacient. Des dels primers signes de gingivitis fins als casos més complexos de periodontitis, planifiquem cada intervenció amb precisió per preservar la salut del periodont i evitar la pèrdua dental.

Disposem de tecnologia d’última generació, com sondeig periodontal informatitzat, proves microbiològiques i radiografia digital, que ens permet detectar la malaltia en fases primerenques i aplicar tractaments mínimament invasius.

A més, acompanyem els nostres pacients durant tot el procés amb programes de manteniment periodontal individualitzats, per evitar recaigudes i mantenir uns teixits sans i estables a llarg termini.

Gingivitis

Malaltia periodontal que afecta les genives. Sol estar provocada per una pel·lícula enganxosa i transparent formada per bacteris denominada placa bacteriana. Es manifesta amb genives inflamades, vermelles i sagnat sobretot en rentar-se les dents, mossegar algun aliment dur o en usar fil dental i mal alè. La causa més freqüent és una mala higiene bucal, per tant podem prevenir-la o revertir-la rentant-nos les dents entre 2-3 vegades al dia, usant fil dental i acudint a controls periòdics.

Periodontitis / Piorrea

Quan no es tracta la gingivitis la inflamació acaba afectant el lligament i l’os que fa de suport. En un estat avançat pot donar lloc a pèrdua de peces. Es pot manifestar amb sagnat, mobilitat de les dents, supuració. Símptomes:

  • Geniva inflamada.
  • Geniva de color vermell brillant.
  • Genives sensibles.
  • Escopir sang després de rentar-se les dents.
  • Dolor en mastegar
  • Mal alè
Injerto de encía - Tratamiento de encías - Clínica dental Merino

Empelt de genives

La geniva serveix per protegir l’arrel de la dent, que és la zona més sensible de la dent, també té la funció de protegir davant els àcids de la boca i d’agressions externes. La retracció de geniva pot estar causada pels següents factors:

  • Malaltia periodontal
  • Rentada agressiva/mala tècnica de rentat
  • Bruxisme
  • Després d’un traumatisme a la boca
  • Hàbits nocius.